ĐH Việt-Pháp và Bệnh viện K ứng dụng AI để chẩn đoán ung thư phổi
Chẩn đoán sớm ung thư phổi sẽ giúp tăng tỉ lệ chữa trị thành công cho căn bệnh ung thư đứng thứ hai cả về số ca mắc mới và số ca tử vong ở Việt Nam hiện nay (nếu được phát hiện và chữa ở giai đoạn sớm, tỷ lệ sống sau 5 năm ở bệnh nhân ung thư phổi có thể đạt trên 90%).

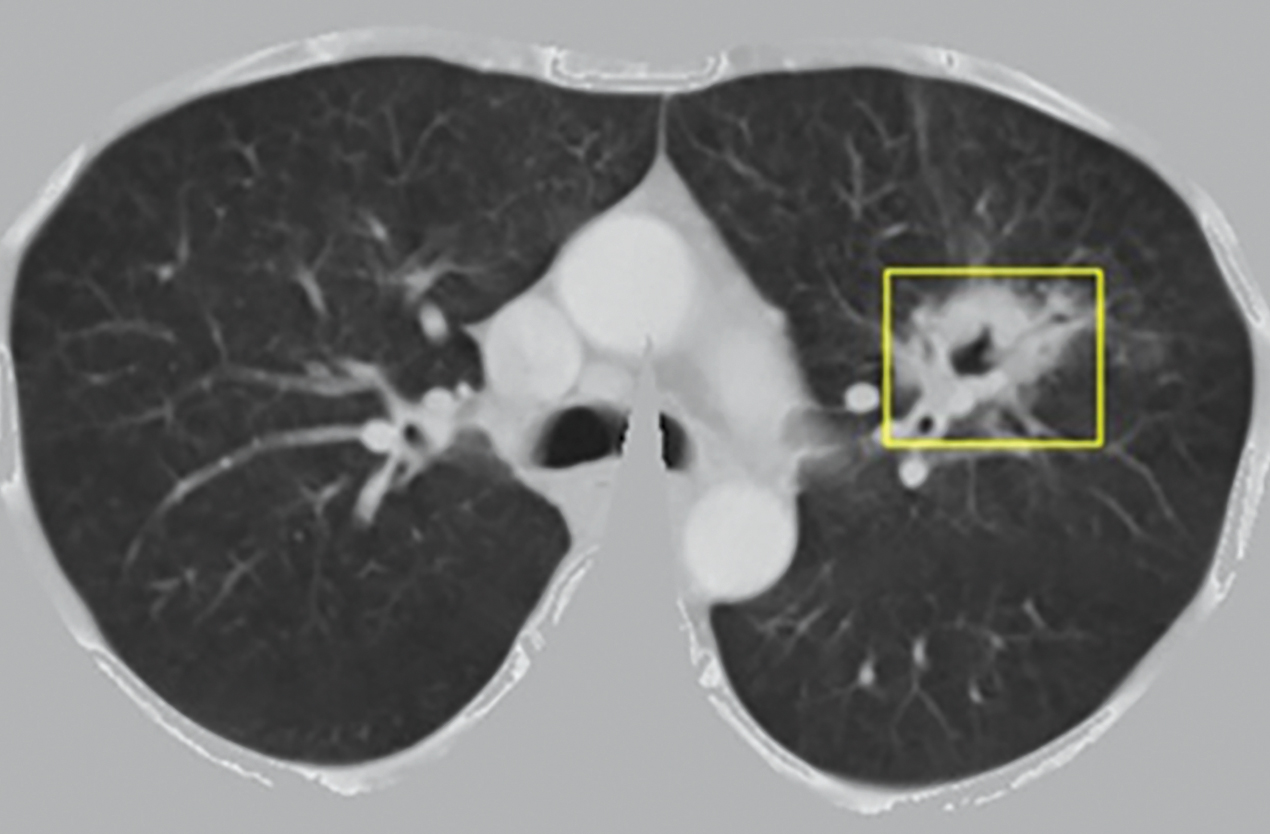
Hình ảnh kết quả của mô hình nhận dạng nốt, khối u phổi trên ảnh cắt lớp vi tính. Nguồn: TS Trần Giang Sơn
Do đó, trong đề tài “Xây dựng hệ thống nhận dạng ảnh y tế hỗ trợ chẩn đoán bệnh ung thư phổi dựa trên học máy và tính toán hiệu năng cao” của Viện Hàn lâm KH&CN VN giao, nhóm nghiên cứu đề xuất xây dựng một hệ thống phần mềm mẫu nhận dạng ảnh y tế nhằm hỗ trợ bác sĩ trong việc chẩn đoán bệnh ung thư phổi và tập trung vào ung thư phổi không tế bào nhỏ (dạng ung thư chiếm khoảng 85% các ca bệnh). Sau hai năm thực hiện, TS Trần Giang Sơn và nhóm tác giả từ Đại học Việt – Pháp (USTH) phối hợp với Bệnh viện K đã xây dựng thành công mô hình phát hiện và nhận dạng vị trí, kích thước các nốt, khối u phổi trên ảnh chụp cắt lớp vi tính, đồng thời xây dựng thành công mô hình phân loại các nốt, khối u phổi trên ảnh chụp chụp cắt lớp vi tính là lành tính hay ác tính. Ngoài ra, nhóm tác giả cũng xây dựng được bộ dữ liệu ảnh chụp cắt lớp vi tính mẫu về ung thư phổi ở Việt Nam. Các sản phẩm cụ thể gồm: Hệ thống hỗ trợ chẩn đoán ung thư phổi LungCancer Care; công cụ gán nhãn mã nguồn mở LungTumorMarker; bộ dữ liệu mẫu về ung thư phổi tại Việt Nam.
Các nhà khoa học cho biết, việc xây dựng được bộ công cụ hỗ trợ bác sĩ trong việc phân tích và gán nhãn dữ liệu ảnh CLVT về ung thư phổi và xây dựng được hệ thống phần mềm nhận dạng ảnh có ý nghĩa bước đầu trong việc hỗ trợ bác sỹ phát hiện và nhận dạng các nốt, khối u phổi trên ảnh chụp cắt lớp vi tính. Sau kết quả bước đầu này, đề tài hướng tới việc tạo ra một hệ thống phần mềm nhằm bước đầu hỗ trợ bác sĩ ở các bệnh viện tuyến trung ương và hỗ trợ các bác sĩ ở tuyến tỉnh, các bác sĩ ở vùng sâu vùng xa trong việc nâng cao hiệu quả và độ chính xác của chẩn đoán bệnh ung thư phổi.
Đề tài mới được hội đồng nghiệm thu cấp Viện Hàn lâm KH&CN VN đánh giá kết quả đạt loại xuất sắc và đã công bố 2 bài báo trên tạp chí thuộc danh mục SCIE (“Improving Accuracy of Lung Nodule Classification Using Deep Learning with Focal Loss,”Journal of Healthcare Engineering, 2019 và “Fast Parallel blur detection on GPU,” Journal of Real-Time Image Processin, 2018).
Sử dụng công cụ trí tuệ nhân tạo và tính toán hiệu năng cao đang là xu hướng được quan tâm nhiều trên thế giới nhằm giúp các bác sĩ chẩn đoán chính xác nhiều loại bệnh. Ở Việt Nam, nếu được đưa vào ứng dụng trong thực tế, hệ thống phần mềm hỗ trợ chẩn đoán bệnh không chỉ giúp giảm tải cho bác sỹ ở các bệnh viện tuyến trung ương mà còn hỗ trợ các bác sĩ ở tuyến tỉnh, các bác sĩ ở vùng sâu vùng xa trong việc chẩn đoán bệnh chính xác và hiệu quả hơn.
Trần Giang Sơn
