Hệ gene giống một cuốn sách mở như thế nào? Phát hiện về hệ thư viện của các tế bào
Tổ chức của hệ gene con người phụ thuộc vào tính chất vật lý của các trạng thái khác nhau của vật chất – như trạng thái lỏng và trạng thái rắn, một nhóm nghiên cứu mới đây đã phát hiện ra điều đó. Phát hiện mới tiết lộ cách bản chất vật lý của hệ gene thay đổi như cách tế bào chuyển đổi để bảo vệ các chức năng cụ thể của mình như thế nào.

Phát hiện mới cũng chỉ ra những cách mới có tiềm năng hiểu tốt hơn về bệnh tật và tạo ra cách các liệu pháp điều trị ung thư và các bệnh rối loạn di truyền.
Hệ gene là thư viện của thông tin di truyền thiết yếu với sự sống. Mỗi tế bào được chứa trong toàn bộ thư viện, nhưng nó chỉ sử dụng một phần thông tin này. Các dạng cụ thể của các tế bào, như tế bào máu trắng hoặc neuron, đều chứa “những cuốn sách” mở nhất định – thông tin chứa đựng đó có liên quan đến với chức năng của chúng. Các nhà nghiên cứu đã tìm kiếm từ lâu điều này để xác định cách hệ gene quản lý các thư viện khổng lồ của đó và cho phép truy cập vào “những cuốn sách” cần thiết, trong khi cất giữ những cuốn sách khác chưa được sử dụng.
Trong nghiên cứu mới xuất bản trên tạp chí Physical Review Letters, các nhà nghiên cứu đã tiết lộ cách điều này xảy ra như thế nào trong một tế bào.
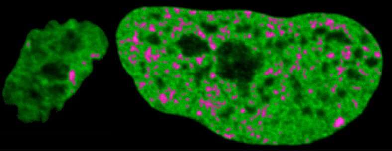
“Chúng tôi tìm thấy những phần của hệ gene đang được sử dụng ở trạng thái lỏng trong khi những phần không được dùng đến hình thành những hòn đảo giống như ở trạng thái rắn”, Alexandra Zidovska, một trợ lý giáo sư tại Khoa Vật lý trường đại học New York và là tác giả chính của nghiên cứu, nói. “Những hòn đảo ở trạng thái rắn đó đóng vai trò như những giá sách của thư viện để cất các cuốn sách với các gene hiện chưa được sử dụng trong khi các phần hệ gene ở trạng thái lỏng đóng vai trò như một ‘cuốn sách mở’, sẵn sàng để truy cập và hữu dụng cho sự sống và đảm trách chức năng của một tế bào”.
Thông tin di truyền của hệ gene được mã hóa trong các phân tử DNA. Việc đọc một cách chính xác và xử lý thông tin là điều tối cần thiết cho sức khỏe con người và sự trưởng thành. Trong một tế bào người, hệ gene chứa mã di truyền được ‘cất’ trong các hạt nhân của tế bào. Với kích thước 10 micro mét – hoặc nhỏ hơn 10 lần so với chiều rộng của một sợi tóc người – nó cất giữ khoảng hai mét DNA.
Lưu trữ một lượng thông tin di truyền cực lớn như thế này trong một không gian nhỏ đòi hỏi việc sắp xếp theo một cách để mỗi mảnh DNA, và cả mã hóa di truyền, đều phải dễ dàng truy cập mỗi khi cần thiết.
Những gì đã diễn ra còn ít được biết, đó là cách thông tin này được lưu trữ như thế nào, vai trò của vật lý trong đó là gì.

Để khám phá hiện tượng này, các nhà nghiên cứu, trong đó có Iraj Eshghi và Jonah Eaton, hai nghiên cứu sinh của NYU, đã so sánh các tế bào trước và sau khi chúng được chuyên biệt hóa.
Cụ thể, họ đã vẽ bản đồ chuyển động của hệ gene trong hạt nhân tế bào gốc của chuột – những thứ còn chưa được chuyên biệt hóa theo chức năng cụ thể nhưng đã được đưa vào trạng thái trở thành bất kỳ dạng tế bào mang chức năng nào, như một tế bào thần kinh hoặc một tế bào máu trắng – và sau đó họ để các tế bào trải qua một sự phân hóa thành các tế bào thần kinh trước khi lập bản đồ chuyển động hệ gene một lần nữa. Khi đó, họ tạo ra những bản đồ đầu tiên trong lịch sử về các chuyển động của một hệ gene trước và sau khi có sự phân hóa tế bào chức năng.
Tại đây họ tìm thấy các tế bào gốc giữ hệ gene của chúng ‘mở’ – làm cho nó có khả năng truy cập được như một cuốn sách mở, với những ‘trang di truyền’ có thể chạm đến được một cách dễ dàng.
Tuy nhiên, bản đồ này cũng chỉ cho thấy điều này một khi một tế bào gốc trở thành một tế bào chuyên biệt, ví dụ thành tế bào thần kinh, tế bào chuyên biệt này giữ cho sẵn sàng có thể truy cập được những phần của hệ gene cần thiết cho chức năng cụ thể của nó. Nó cũng đặt những phần không được đọc của hệ gene lên các ‘giá sách’. Điều này giúp cho có nhiều không gian hơn cho thông tin đang được đọc và xử lý.
“Những chuyển động này nói với chúng ta một cách chính xác cách có thể truy cập hệ gene trong một nơi cho trước trong các hạt nhân tế bào”, Zidovska giải thích. “Hơn thế, các chuyển động này tiết lộ trạng thái vật lý của những phần khác nhau trong hệ gene, với các phần trạng thái lỏng có trách nhiệm phản hồi với DNA được đóng gói một cách lỏng lẻo và các phần như chất rắn phản đồi với các chất keo DNA được đóng gói một cách chặt chẽ. Việc đóng gói hệ gene trong những trạng thái khác nhau của vật chất tác động một cách trực tiếp khả năng truy cập của hệ gene; các phần lỏng là phần có thể truy cập, trái ngược với những phần chất rắn. Điều kỳ diệu này là ở chỗ tổ chức đó phụ thuộc vào các trạng thái vật lý khác nhau của vật chất – lỏng và rắn”.
“Việc đo lường các chuyển động của các phần riêng biệt trong hệ gene cho phép chúng tôi chứng tỏ các đặc tính vật lý khác biệt của những phần khác nhau của hệ gene, và hiểu biết về tổ chức hệ gene – ‘hệ thư viện’ của tế bào”, bà cho biết thêm.
Một hệ ‘ghi tên’ tế bào chính xác cần thiết cho sức khỏe con người, các nhà nghiên cứu lưu ý.
“Việc xem xét số lượng rộng lớn của các dạng tế bào trong cơ thể con người, nếu một cuốn sách mất đi hoặc đổi chỗ trong thư viện tế bào đó, có thể dẫn đến việc để mất thông tin, có thể dẫn đến các rối loạn phát triển hoặc rối loạn được di truyền cũng như thứ tai ách như ung thư”, Zidovska nói. “Do đó, việc tiết lộ cách hệ gene được tổ chức bên trong hạt nhân tế bào là tối cần thiết cho hiểu biết của chúng ta về các điều kiện đó và khả năng dẫn đến bệnh tật. Dẫu sao, nhiều hiểu biết có thể giúp chúng ta trong việc thiết kế các liệu pháp điều trị tương lai và chẩn đoán nhiều bệnh rối loạn di truyền”.
Thanh Nhàn tổng hợp
Nguồn: https://phys.org/news/2021-06-genome-cells-library.html
